Ablación focal guiada en cáncer de próstata
El tratamiento del cáncer de próstata localizado ha avanzado gracias a innovaciones en imagenología. La ablación focal con láser (FLA) se perfila como una técnica mínimamente invasiva que trata de forma localizada los focos tumorales. Recientes investigaciones demuestran que la integración de micro-ecografía y MRI mejora la precisión en la localización y el tratamiento de las lesiones.
La micro-ecografía, operando a 29 MHz, ofrece una resolución de 70 μm, triplicando la capacidad de los equipos transrectales convencionales.
Esta alta resolución permite identificar con exactitud hasta el 91% de los focos tumorales previamente detectados en la MRI. La fusión de imágenes durante la fase de planificación posibilita ajustar la posición de la aguja de ablación, garantizando una cobertura óptima del volumen tumoral.
Dicho enfoque tecnológico no solo mejora la efectividad del tratamiento, sino que también preserva los tejidos circundantes, reduciendo complicaciones y manteniendo la calidad de vida del paciente. En un estudio prospectivo reciente, se evaluó la eficacia de la técnica en pacientes con lesiones PI-RADS 3 o superiores.
Este artículo aborda los hallazgos y la relevancia clínica de combinar micro-ecografía y MRI para optimizar los resultados en la ablación focal, ofreciendo una alternativa prometedora frente a métodos tradicionales.
Metodología y diseño del estudio prospectivo
El estudio prospectivo aleatorizado incluyó 55 pacientes, con una mediana de edad de 70 años, portadores de 58 lesiones clasificadas como PI-RADS 3 o superiores. Los investigadores compararon dos modalidades de ablación focal con láser: una utilizando una sola fibra y otra con multifibra.
Se utilizó MRI para planificar el procedimiento y fusionar imágenes, permitiendo ajustar la posición de la aguja y asegurar la cobertura del volumen tumoral. La micro-ecografía, gracias a su alta resolución, facilitó la localización precisa de los focos cancerígenos, alcanzando una tasa de detección del 91 por ciento.
Durante el estudio, se monitorearon los niveles de PSA y se evaluó la recurrencia tumoral a los 12 meses de seguimiento. Los pacientes presentaban, en su mayoría, lesiones con Gleason 3+4, mientras que un porcentaje menor tenía Gleason 3+3.
La comparación entre la técnica de una sola fibra y la multifibra permitió identificar diferencias en la reducción de PSA y en la tasa de recurrencia, siendo esta última significativamente menor en el grupo tratado con multifibra. Este diseño metodológico, sustentado en datos multicéntricos, respalda la validez de los hallazgos y ofrece una base sólida para la implementación de estos avances en la práctica clínica.
Hallazgos del estudio
Los resultados del estudio publicado en Radiology demostraron mejoras importantes en el manejo del cáncer de próstata. Con la técnica de ablación con una sola fibra, se observó una reducción del 44 por ciento en los niveles de PSA, pasando de 6 ng/mL a 3.4 ng/mL, pero con una tasa de recurrencia del 49 por ciento, de la cual el 77 por ciento correspondió a recurrencias locales.
En contraste, la modalidad multifibra mostró una reducción del 65 por ciento en los niveles de PSA, de 8 ng/mL a 2.8 ng/mL, y una tasa de recurrencia significativamente menor, del 18 por ciento.
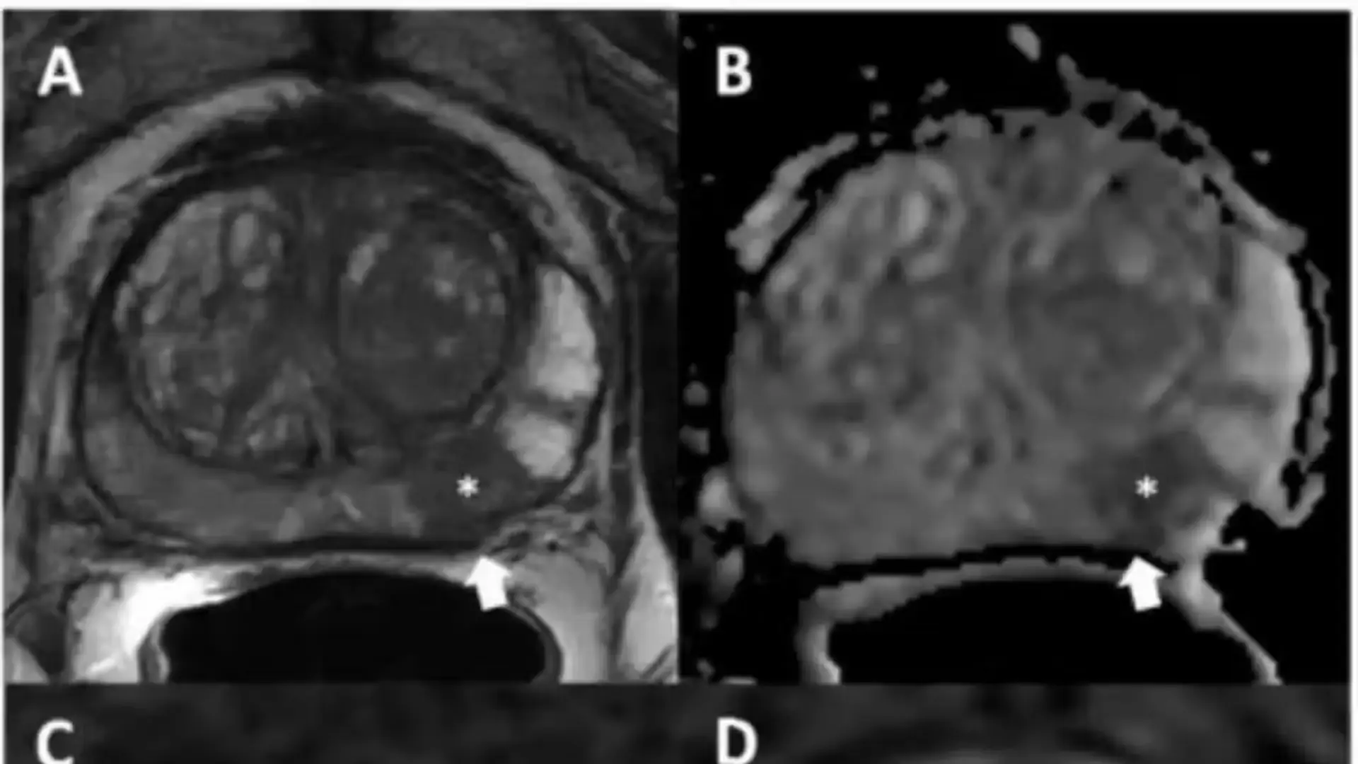
La alta resolución de la micro-ecografía y la planificación precisa mediante MRI permitieron delimitar con exactitud el área a tratar, garantizando un adecuado margen oncológico. Además, se constató que el procedimiento no afectó significativamente la calidad de vida ni la función urinaria de los pacientes, aunque se reportó una ligera disminución en el International Index of Erectile Function.
Un caso de fístula retroprostática destacó la necesidad de emplear medidas preventivas, como la hidrodesinfección rectoprostatica, especialmente en tumores localizados en zonas periféricas. Estos hallazgos resaltan el potencial de la técnica multifibra para ofrecer un tratamiento focalizado, seguro y eficaz en el manejo del cáncer de próstata localizado.
Implicaciones clínicas y desafíos en la práctica actual
La integración de micro-ecografía y MRI en la ablación focal con láser presenta importantes implicaciones para la práctica clínica.
La mejora en la localización tumoral permite que el tratamiento se dirija específicamente a las áreas afectadas, reduciendo la probabilidad de recurrencias y minimizando el daño a tejidos sanos.
Esta precisión se traduce en una reducción de intervenciones adicionales y en una optimización del flujo de trabajo clínico, lo que es especialmente relevante en entornos con acceso limitado a especialistas en imagenología.
A pesar de los resultados prometedores, se identifican desafíos en la monitorización simultánea de temperatura durante el procedimiento, lo que podría aumentar el riesgo de complicaciones como la fístula retroprostática.
La incorporación de técnicas de hidrodesinfección emerge como una solución para mitigar estos riesgos, especialmente en casos de tumores en zonas bilaterales o periféricas. Además, la adaptación de estos protocolos en centros clínicos requiere formación específica y una estrecha colaboración entre radiólogos, urólogos y especialistas en tecnología médica.
Estos desafíos subrayan la necesidad de estudios prospectivos adicionales que evalúen el impacto a largo plazo y permitan perfeccionar los procedimientos, garantizando un manejo integral y seguro del cáncer de próstata.

Perspectivas futuras e integradas
El estudio sobre la ablación focal guiada por micro-ecografía y MRI para el tratamiento del cáncer de próstata abre nuevas perspectivas en el campo de la imagenología y la oncología.
Los resultados obtenidos, en términos de reducción de PSA y menor tasa de recurrencia con la técnica multifibra, sugieren que este enfoque puede convertirse en un estándar para el manejo de lesiones focales en la próstata.
La combinación de alta resolución y planificación precisa no solo mejora la efectividad del tratamiento, sino que también permite preservar la función y calidad de vida del paciente.
A futuro, es crucial la realización de estudios a mayor escala y con seguimiento prolongado para confirmar estos hallazgos y optimizar los protocolos existentes. La integración de sistemas de monitorización en tiempo real y la formación continua de los profesionales serán esenciales para superar los desafíos técnicos y operativos.
En definitiva, la fusión de micro-ecografía y MRI se presenta como una herramienta prometedora que, correctamente implementada, puede transformar el abordaje terapéutico del cáncer de próstata, ofreciendo tratamientos más seguros y personalizados para los pacientes.




0 comentarios